愛犬の食欲不振、「腸重積」という危険な状態かも!?
滋賀県草津市/大津市のエルム動物病院です。
今回は「犬の腸重積(ちょうじゅうせき)」についてご紹介します。
愛犬がいつもと違う…
「食欲がないのは、病気?それともただの食べムラ?」
そんなふうに感じたことはありませんか?
飼い主さんの「なんとなく」という小さな違和感は、時として病気のサインを見つける重要な手がかりになります。特に、言葉を話せない動物たちにとって、その小さな変化こそが私たちへの唯一のメッセージかもしれません。今回は、その違和感が命を救った、ある柴犬ちゃんの症例をご紹介します。
症例の概要:7ヶ月の柴犬、食べムラは「ヒート」のせい?
生後7ヶ月の柴犬の女の子。最近はじめての発情(ヒート)が始まり、その後から食べムラがあり、少し元気がないとの主訴で来院されました。
この子は初めての発情期を迎えたばかり。ヒート中の食欲不振はよくある症状なので、一時的なものだろうとまずは対症療法(皮下点滴・注射など)で様子を見ることも可能です。しかし、当院では飼い主さんの些細な不安にも向き合い、「念のため」の詳しい検査を大切にし、しっかり診断をつけることを目標としています。
今回のケースでもヒートによる食べムラと決めつけずに、血液検査、レントゲン検査、エコー検査を行いました。
診断:エコー(超音波)検査が明らかにした「腸重積」
診察中、この子は元気にしっぽを振っていましたが、お腹を触ると少しだけ痛がる様子を見せました。血液検査では、わずかながらも炎症反応を示す数値(白血球とCRP)の上昇が見られました。レントゲン検査では明らかな異常は確認できませんでしたが、この段階で「やはり何かおかしい」という疑いが強まりました。
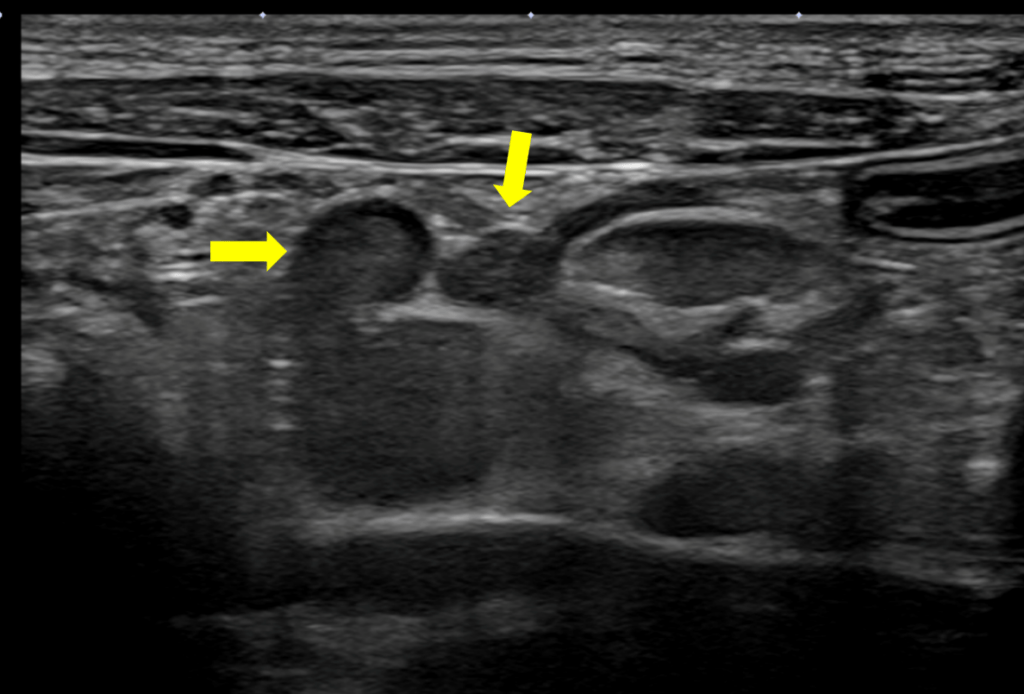
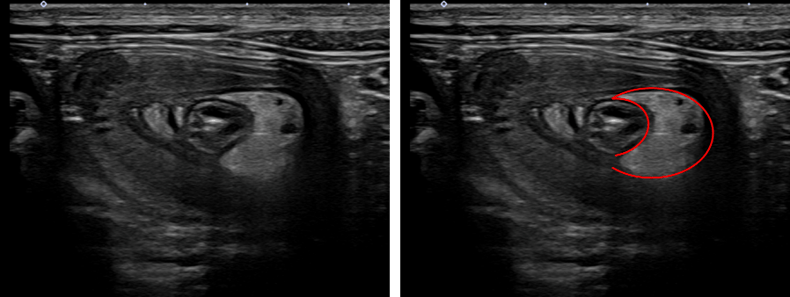
エコー検査では右上腹部に、crescent-in-doghnut signとその周囲のリンパ節の腫れがみられました。crescent-in-doghnut signとはターゲットサインの一種で、腸が腸の中に入り込んでいる様子が、あたかもドーナツの中にかけた三日月が入り込んでいるように観察されるためこう呼ばれます。
↑crescent-in-doghnut sign
↑リンパ節の腫れ
本来リンパ節はほとんどエコーで映りませんが、リンパ節が腫れていると黄色矢印のようにエコーではっきりと映ります。
各種検査とエコー検査の結果から腸重積と診断しました。このまま放っておくと、腸がねじれて血流が遮断され、壊死してしまいます。腸重積は命に関わる緊急事態のため、迅速な治療が必要と判断し、すぐに開腹手術を行うことになりました。
手術・治療の過程:危険な状態からの回復への道筋
腸重積は淡々吻合という腸と腸をつなぎ合わせるような大掛かりな手術になることがあるため、本院である草津院にて院長の執刀のもと、緊急手術が始まりました。
以下は実際の手術画像なので苦手な方はご遠慮ください。
↓
↓
↓
↓
↓
↓
↓
↓
↓
↓
↓
↓
開腹すると、実際に回腸が盲腸内に入り込んで(重積して)いました。
重積を解除しても腸の色が悪く、壊死した腸を切除し、淡々吻合をすることにしました。
↓実際に切除した腸
切断した腸の断面同士を綺麗に繋ぎ合わせます。
縫合したところから液体の漏れがないかリークチェックをします。縫合した部分から血液や体液、空気などが漏れないかを確かめるための重要な最終確認工程です。リークチェックの最大の目的は、術後の合併症を防ぐことです。
この子は避妊手術も希望されていたので、同時に卵巣子宮も摘出しました。
手術直後は絶食が必要なためそのまま入院し、静脈点滴を流します。入院中も血液検査や画像検査を行い、異常が起きていないかを確認します。食事はリキッドタイプのものから徐々に再開し、食欲に問題ないことを確認し、3日後無事に退院しました。
この症例から学ぶ「腸重積」と早期発見の重要性
今回の柴犬ちゃんのように、若齢犬の腸重積は原因がはっきりしない特発性であることが多いです。また、消化器の病気や手術後に起こることもあります。
この病気が厄介なのは、初期症状が非常に分かりにくいことです。今回の柴犬ちゃんも、軽度の食欲不振や元気がないという程度でした。しかし、進行すると以下のような様々な症状が現れます。
- 軽度の症状:食欲不振、嘔吐、軟便など
- 重度(腸管閉塞、腸管壊死・穿孔)の症状:発熱、沈鬱、腹囲膨満、虚脱など
もし愛犬にこれらの症状が見られたら、自己判断せず、すぐに動物病院を受診することが非常に重要です。
腸重積の治療は、まれに自然治癒することもありますが、ほとんどの場合は外科的な整復が必要です。発見が遅れると、腸の大部分を切除しなければならず、手術の難易度や回復までの期間も長くなり、治療費も高額になります。今回のように早期に発見できれば、よりスムーズな手術と回復が期待できます。
最後に:大切な家族を守るためにできること
「愛犬の『いつもと違うな』という違和感は、決して気のせいではありません。」
言葉を話せない愛犬・愛猫のわずかな変化は、私たちへのSOSです。その小さなサインを見逃さないでください。
当院では病気の早期発見・早期治療のために出来るだけ詳しい検査をお勧めしています。特にエコー検査は動物に負担を強いることなく、たくさんの情報を得られるので、体調が悪いときはもちろん、健康診断の際も積極的に行うようにしています。
ワンちゃんネコちゃんにも人と同じような健康診断(人間ドッグ)を行っていますので、なにか心配な症状があるときはもちろん、健康診断の希望などあればいつでもお気軽にご相談ください。
10月~ワンちゃん向けの秋の健康診断も実施します。是非この機会に健康診断の受診をご検討ください。
記事作成
エルム動物病院 大津院 獣医師 森島
内科全般や、猫の診察、循環器のエコー検査を得意としています。
特に循環器に関しては、近畿動物医療研修センターの研究生として日々精進を重ねています。
その他、当院の手術実績はコチラから
その他、「犬の病気・猫の病気」の記事一覧はコチラから
Box content
