【猫】健康診断の重要性「無症状の若齢猫で見つかった2症例(重複腸管・心筋症)」
滋賀県草津市/大津市のエルム動物病院です。
当院では、ワンちゃん、ネコちゃんの健康診断に力を入れています。昨今、獣医療の進歩により、人の人間ドックのように健康状態を把握することができるようになりました。
1.なぜ猫に定期的な健康診断が必要なのか
ワンちゃんネコちゃんは体調が悪くても隠してしまったり、症状が出ることなく水面下で病気が進行するケースもよくあります。特にネコちゃんはなかなか病院に行く機会も少なく、病気が見つかったときにはすでにかなり病態が進行してしまっていた、というようなことも珍しくありません。
そのため当院では半年に1回(夏と冬に)、ネコちゃんを対象とした健康診断のキャンペーンを実施しています。
一番基本となるのは、腎臓や肝臓の働きなどを確認する血液の検査です。血液検査は肝臓や腎臓など内臓系の数値、栄養バランスなどを把握するのに適していますが、心臓や肺の疾患、体内に隠れた腫瘍(しこり)、筋骨格系の病気などは見つけることができません。
そのため、レントゲンやエコーなどの画像検査も併せて実施することをおススメしています。
今年の夏、健診を通じて病気の早期発見ができた2つの例をご紹介いたします。
2.【健康診断症例報告】2歳の猫で見つかった希少な奇形「重複腸管」
最初の事例は、目立った症状がほとんどない中で発見されました。
・対象: 雑種ネコ、2歳、メス
・来院経緯: 健康診断のため来院。最近少し食べムラがあるとのこと。
・検査結果:
―血液検査:異常なし。
―レントゲン検査:右の下腹部に透過性の低い構造物を確認。
―エコー検査:液体を含む嚢胞状(のうほうじょう)の構造物を確認 。
・診断と治療:
二次診療施設にてCT撮影および細胞診を実施しましたが由来が不明だったため、試験開腹による外科的切除を行いました。
・病理結果:
「重複腸管」というかなり珍しい奇形の可能性が高いと判明しました。(今回、手術画像は割愛しますが、かなり珍しい症例であったため、またどこかの機会にご紹介できればと思います。)
・獣医師の視点:
今回のケースでは、腸閉塞や腹膜炎などの症状を起こす前に手術に入ることができ、手術のリスクを低減できたと思われます 。
3.【健康診断症例報告】3歳の猫で見つかった「肥大型心筋症」
2つ目の事例は、飼い主様が「体調面で気になることはない」と感じていたケースです。
・対象: 雑種ネコ、3歳、オス
・来院経緯: 健康診断のため来院。体調面は特に気になることはないとのこと。
・検査結果:
―聴診:心筋症に特有の心雑音を聴取。
―血液検査:軽度の肝数値上昇。
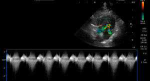
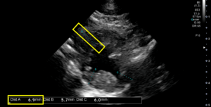
―心臓エコー検査:心筋の肥大、SAM(僧帽弁収縮期前方運動)、左心室内の肉柱を確認。
・診断:
正常な猫の心筋は6mm以下と言われていますが 、今回の症例では最大6.9mmの肥大が認められました(上画像)。猫の肥大型心筋症は二股のジェット(ジェット気流が二股に分かれているように見える現象)が特徴です(下画像)。
・獣医師の視点:
肥大型心筋症(拘束型心筋症)として治療を開始しました。心筋の肥大は不可逆的なもの(元には戻らないもの)なので、早期に発見することが非常に重要です。
4.若くても、無症状でも定期的な健康診断を
今回の症例は2例とも、症状がない若いネコちゃんでした。また、血液検査だけでは見逃されていた異常です。若齢のネコちゃんや何も症状がないネコちゃんでも、ぜひ一度健康診断を受けてみてください。
※病院が苦手な猫ちゃんへの対応
ネコちゃんの性格によっては画像検査が難しい場合もありますが、その際は抗不安薬などを用い、出来るだけ負担がかからないように実施しています。一度、健康診断を受けてみたいが不安な点がある際には、当院にお気軽にご相談ください。
5.健康診断のよくある質問(Q&A)
Q:猫の健康診断は、血液検査だけで十分ですか?
A: いいえ、血液検査だけでは不十分な場合があります。血液検査は肝臓や腎臓など内臓系の数値、栄養バランスなどを把握するのに適していますが、心臓や肺の疾患、体内に隠れた腫瘍(しこり)、筋骨格系の病気などは見つけることができません。そのため、レントゲン検査やエコー検査などの画像検査を併せて受けることが、病気の早期発見には不可欠です。
Q:若い猫や、元気に見える猫でも健康診断は必要ですか?
A: はい、非常に重要です。猫は体調不良を隠す習性があり、症状が出ないまま水面下で病気が進行することが多いためです。実際に今回ご紹介したように、2〜3歳の無症状の猫ちゃんにおいて「重複腸管」という珍しい奇形や「肥大型心筋症」が健診で発見された事例があります。
Q:猫の心臓の病気は、どのように見つけるのですか?
A: 診察時の「聴診」で心雑音が見つかることがきっかけになる他、心臓エコー検査が極めて有効です。正常な猫の心筋は6mm以下とされていますが、エコー検査でこれを超える肥大や、心臓内の異常な動き(SAMなど)を確認することで、症状が出る前に診断・治療を開始することが可能になります。
Q:病院が苦手で暴れてしまう猫でも、健康診断(血液検査や画像検査)は受けられますか?
A: はい、可能です。猫ちゃんの性格やストレスの度合いに応じて、抗不安薬などを使用し、できるだけ負担がかからないような方法で実施いたします。不安な点がある場合は、事前に当院へお気軽にご相談ください。
記事作成
エルム動物病院 大津院 獣医師 森島
内科全般や、猫の診察、循環器のエコー検査を得意としています。
特に循環器に関しては、近畿動物医療研修センターの研究生として日々精進を重ねています。
その他、当院の手術実績はコチラから
その他、「犬の病気・猫の病気」の記事一覧はコチラから
