【足を引きずる・痛がる】犬の股関節脱臼、繰り返す前に根本治療を
滋賀県草津市/大津市のエルム動物病院です。
今回は「犬の股関節脱臼」についてご紹介します。
「愛犬が急に片足を上げて歩くようになった」
「体を触るとキャンと鳴いて痛がる…」
その症状、もしかしたら「股関節脱臼」かもしれません。
股関節脱臼は、交通事故などの大きなケガだけでなく、家の中での転倒といった日常の些細なことでも起こりうる病気です。一度はめても繰り返し外れてしまうことも多く、放置すると痛みが続くだけでなく、関節が変形してしまうこともあります。今回は、そんな犬の股関節脱臼について、その原因から根本的な治療法まで詳しくお伝えします。
股関節脱臼ってどんな病気?
股関節は、骨盤のくぼみ(寛骨臼:かんこつきゅう)に、太ももの骨の先端(大腿骨頭:だいたいこっとう)がボールのようにはまり込む形をしています。この関節は強靭な円靭帯、関節包、筋肉で支えられており、犬がスムーズに歩いたり走ったりするために非常に重要な役割を担っています。
股関節脱臼とは、この「ボール」の部分である大腿骨頭が、「受け皿」である寛骨臼から完全に外れてしまった状態を指します。関節が外れることで強い痛みが生じ、正常に体重を支えることができなくなります。小型犬から大型犬まで、どんな犬種でも起こる可能性がありますが、特にトイ・プードルなどの小型犬で多く見られます。

参照「イラストでみる犬の病気|講談社」
どうして股関節脱臼になるの?主な原因はこれ!
股関節脱臼が起こる主な原因は以下の通りです。
・外傷(ケガ)
最も多い原因です。交通事故、高い場所からの落下、他の犬との激しい接触など、股関節に強い衝撃が加わることで、関節を支えている靭帯や関節包(関節を包む袋)が断裂し、脱臼してしまいます。フローリングで滑って転んだ、といった室内での事故も原因となり得ます。
・股関節形成不全などの基礎疾患
生まれつき股関節の”受け皿”が浅いなど、関節の形に異常がある「股関節形成不全」という病気を持っている犬は、正常な犬に比べて非常に脱臼しやすい傾向があります。レトリーバー種などの大型犬に多い病気ですが、小型犬でも見られます。
こんなサインに気づいて!股関節脱臼の症状
股関節を脱臼すると、非常に強い痛みを伴うため、以下のような特徴的な症状が見られます。
・足を着けなくなる(挙上)
脱臼した方の後ろ足を地面に着けることができず、完全に浮かせて3本足で歩こうとします。最も分かりやすいサインです。
・強い痛み
腰や足の付け根あたりを触ると、極端に嫌がったり、悲鳴をあげたりします。じっとしていても痛みのために震えていることもあります。
・歩き方の異常
歩くのを嫌がる、すぐに座り込んでしまう。腰を振るような特徴的な歩き方(モンローウォーク)をすることがあります。
・足の見た目の変化
脱臼した方の足が、正常な足よりも短く見えることがあります。
これらの症状が見られたら、脱臼を悪化させないためにも、できるだけ早く整形外科に強い動物病院を受診することが大切です。
診断と検査:正確な診断が治療の鍵!
股関節脱臼を診断するためには、以下の検査を行います。
・触診
獣医師が慎重に股関節の周りを触り、骨の位置や関節の可動域、痛みの程度を確認します。この時点で、脱臼しているかどうかはある程度推測できます。
・レントゲン検査
診断を確定するために必須の検査です。骨盤全体のレントゲンを撮影し、大腿骨頭が寛骨臼から外れていることを確認します。また、骨折や股関節形成不全など、他の異常がないかも同時に評価します。
股関節脱臼の治療法
治療法は、脱臼の状態や原因、犬の年齢や体の状態によって、非観血的整復(手術しない方法)と外科的治療に分かれます。
非観血的整復(徒手整復)
鎮静や麻酔をかけて、獣医師が手で骨を元の位置に戻す方法です。整復後は、包帯などで数週間足を固定し、関節が再び安定するのを待ちます。しかし、一度損傷した靭帯や関節包は完全には元に戻らないため、整復しても再び脱臼してしまう確率が非常に高いのが欠点です。そもそも、数週間~数か月の間、包帯で足を固定することに耐えられる子は少ないです。
外科的治療(手術)
再脱臼を繰り返す場合や、徒手整復が不可能な場合、根本的な治療を目指す場合に推奨される方法です。 いくつかの術式があります。
・トグルピン法(関節包外固定術)
関節をまたぐように特殊な丈夫な糸を通し、人工的に靭帯を再建して関節を安定させる方法です。自分の関節を温存できるのが最大のメリットです。
※以下手術を当院では推奨しておりません
・大腿骨頭切除術
脱臼整復手術をできない病院では、大腿骨頭を切り落としてしまう手術をされることもあります。しかし、健康な股関節ならば元の状態に戻してあげるのが基本です。そのため、レッグペルテス病で大腿骨頭が壊死していない限り、当院では、大腿骨頭を切除することはありません。
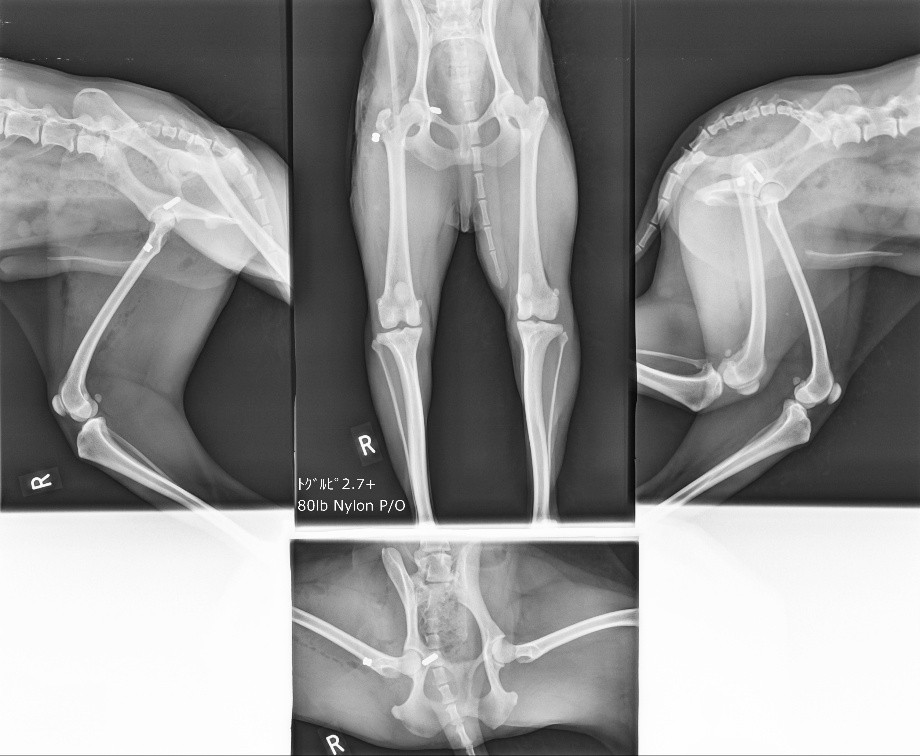
股関節脱臼の症例報告
11歳のトイ・プードルのワンちゃん。他院にて股関節脱臼と診断され、徒手整復(手術しない方法)を受けましたが、すぐに外れてしまう状態を繰り返していました。根本的な治療をご希望され、セカンドオピニオンとして当院に来院されました。
レントゲン検査にて、右の股関節が完全に脱臼していることを確認しました。

飼い主様とご相談の結果、関節を温存し、根本的に安定させることを目指して、トグルピン法による外科手術を実施しました。
ここからは実際の手術症例をご紹介します。
手術中の生々しい写真もあるため、ご了承いただける方のみお進みください。
↓
↓
↓
↓
↓
↓
↓
↓
↓
↓
↓
全身麻酔をかけ、手術する足の毛を刈り、皮膚をきれいに消毒します。まず、皮膚を切開し、靱帯などを切らないように股関節を露出し、外れてしまっている股関節(大腿骨頭)を確認します。

次に、骨盤のくぼみ(寛骨臼)に、ドリルで小さな穴を1つあけます。あけた穴に、「トグルピン」という小さな金属の棒(ボタンの裏の留め具のようなもの)が結ばれた、非常に丈夫な特殊な糸を通します。穴を通って骨盤の内側に出てきたトグルピンを、糸を引っ張ることで90度回転させます。すると、トグルピンが骨の内壁にしっかりと引っかかり、糸が抜けなくなります。

続いて、太ももの骨(大腿骨)の、関節に近い部分にもドリルで穴をあけます。骨盤側に固定された丈夫な糸を、太ももの骨にあけたトンネルに通します。そして、関節がグラグラしないように適切な強さで糸を引っ張りながら、しっかりと結びつけます。これで、骨盤と太ももの骨が丈夫な糸(人工の靭帯)で繋がれ、関節が安定し、脱臼しなくなります。関節が安定していることを確認したら、切開した部分をきれいに縫い合わせて手術は終了です。
手術は無事成功し、術後はしっかりと関節が安定していることが確認できました。

術後のリハビリを経て、今では痛みもなくなり、しっかりと自分の足で歩けるようになりました。繰り返す脱臼の悩みから解放され、元気に過ごしてくれています。
飼い主さんにできること・予防法
股関節脱臼は、多くが事故(外傷)によって起こるため、事故を防ぐことが一番の予防になります。
室内環境の見直し
・フローリングなどの滑りやすい床には、カーペットやマットを敷く。
・ソファや段差には、ペット用のステップを設置し、飛び降りを防ぐ。
散歩中・外出中の注意
・交通事故を防ぐため、必ずリードを着用し、ダブルリードにするなどの対策を。
・ドッグランなどでは、他の犬との激しい接触に注意する。
肥満の防止
・体重が重いと、それだけ関節にかかる負担が大きくなります。適正体重を維持することは、あらゆる関節の病気の予防につながります。
そして何よりも、足を引きずる、痛がるといった症状が見られたら、様子を見ずにすぐに動物病院を受診してください。
最後に
股関節脱臼は、一度はめても繰り返してしまうことが多く、その度に愛犬はつらい痛みに耐えなければなりません。
「何度も整復しているけど、また外れてしまった」「大腿骨頭を切り落とすと言われた」「もう年だから手術は…」と諦める前に、ぜひ一度当院にご相談ください。その子その子に合った、根本的な治療法があります。大切なご家族が、再び痛みなく自分の足で歩けるように、私たちが全力でサポートいたします。
記事作成
エルム動物病院 院長 奥村 滋
一般的な内科診療のほか、簡易な手術から難度の高い整形外科・軟部外科手術までを担当しております。
特に整形外科では滋賀県のみならず、福井県や京都府の動物病院から、依頼・紹介手術を受けて執刀しており、普通の病院では行わない整形外科だけでも、その数は約1900件の実績があります。
その他、当院の手術実績はコチラから
その他、「犬の病気・猫の病気」の記事一覧はコチラから
Box content